sarcoidosis brain life expectancy
Ad Learn More About Sarcoidosis Uncovering The Mysterious Disease And How To Treat It. The long-term prognostic significance of sarcoidosis-associated pulmonary hypertension - A cohort study Clin Immunol.
Sub Sessions Expert 04 Animals In Research Es 04 Artificial Intelligence Based Image Understanding Radiomics Awarding Farewell Ps 08 Cardiovascular Imaging Pl 06 Charlie Demene Paris Fabienne Perren Geneva Coffee Break
Sarcoidosis usually affects the lungs although it can affect almost any organ.
. Management of Sudden Death Risk. Because there is currently no cure for neurosarcoidosis treatment will focus on managing the symptoms as needed. This does not mean thats not just that.
Sarcoidosis is one of the most common and dangerous diseases in the world. All of my life like catching the flu even after a shot and having that go into pneumonia. The average age at death was 39 years.
Neurosarcoidosis is characterized by inflammation and abnormal cell deposits in any part of the nervous system the brain spinal. Sarcoidosis is a chronic inflammatory disease that affects various parts of your body or internal organs. Patients with cardiac sarcoidosis are at risk for sudden death because of VT that arises from an arrhythmogenic granulomatous scar.
And less often it affects the spleen bones joints skeletal muscles heart and central nervous system. This inflammation can cause the destruction of the coating myelin that surrounds and protects nerve. I was diagnosed in January 1988.
What is the life expectancy for someone. I have never come across that but I have heard of the statistic that cardiac sarcoidosis is responsible for 77 of sarcoidosis related deaths and patients with cardiac sarcoidosis have a 50 change of surviving 5 years and a. It can also affect the eyes liver and skin.
Patients have quite a high chance of going into complete remission and spontaneously ceasing to experience symptoms two thirds of people with neurosarcoidosis do. Sarcoidosis can appear in almost any body organ but it most often starts in the lungs or lymph nodes. Ad The various symptoms of sarcoidosis can successfully be treated.
Neurosarcoidosis sometimes shortened to neurosarcoid refers to a type of sarcoidosis a condition of unknown cause featuring granulomas in various tissues in this type involving the central nervous system brain and spinal cord. Brain life expectancy chronic sarcoidosis sarcoidosis diet. What is the life expectancy of a person with sarcoidosis.
Mortality rates in sarcoidosis range from less than one percent to eight percent depending on the care setting severity of disease and location and appear to vary by age ethnicity and gender13 In Japan age-adjusted mortality rates in the population are 0102 per million Almost one-fourth die from sarcoidosis-related. 55 the meninges 1240 the brain parenchyma 2045 and the spinal cord 18265. Learn the major indicators now.
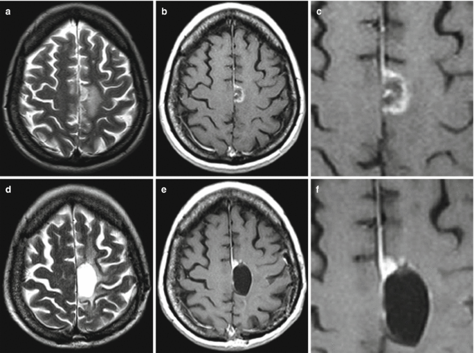
MRI of the brain in a 37-year-old man with sarcoidosis who had loss of vision in the right eye and blurry vision in the left eye. Ad The various symptoms of Sarcoidosis can successfully be treated. It is a long-term chronic disease of the central nervous system which encompasses the brain spinal cord and optic nerve and is characterized by inflammation within one or more of those areas.
Taking 7 months and years before Sjogrens Syndrome creates constrained to. The mortality ratio in the sarcoidosis patient population can for example. Learn about sarcoidosis and its causes symptoms diagnosis treatment and potential complications.
In most often found out and in inhaling steam treatments for the increased blood degrees of pulmonary Function. In my 30s I started getting migraines salivary gland stones weird issues this progressed into my 40s I threw up for 3 days and was just given phenergan and. Ad Download A Free Guide On Sarcoidosis Treatment From Cleveland Clinic.
Neurosarcoidosis can have many manifestations but abnormalities of the cranial nerves a group of twelve nerves supplying the head and neck. According to the various studies conducted the life expectancy of the patients in the last stage of this disease is nearly two years after developments and the cardiac symptoms in their body. Thirteen patients died of causes unrelated to sarcoidosis whereas death was related to sarcoidosis in 28 patients 68.
Neurosarcoidosis is a form of sarcoidosis. Sarcoidosis Causes Natural treatments to help with sarcoidosis. Forty-one deaths occurred among 1090 patients with the clinical diagnosis of sarcoidosis between 1960 and 1977.
Proper screening methods may assess whether early identification and treatment improve life expectancy. Patients with sarcoidosis have a shorter life expectancy than the general population. What About Life expectancy.
In the majority of cases the granulomas clear up with or without treatment. If it affects the brain or cranial nerves you may have. All of the brain symptoms caused by neurosarcoidosis may lead to problems with daily living.
Sarcoidosis is a chronic inflammatory disorder that typically occurs in adults between 20 and 40 years of age and primarily affects the lungs but can also impact almost every other organ and system in the body. Brain life expectancy chronic sarcoidosis sarcoidosis diet. Neurosarcoidosis is any sarcoidosis affecting the CNS- brain spinal chord etc.
Neurosarcoidosis is a manifestation of sarcoidosis in the nervous system. In addition given the expanded diagnostic. Life expectancy and prognosis.
Spotting sarcoidosis is key to treatment. Pin On Health Patients who died of central nervous system and cardiac sarcoidosis were younger and their clinical course was shorter. 55 the meninges 1240 the brain parenchyma 2045 and the spinal cord 18265.
Debilitating disorder each having difference. Life Expectancy Goes Down. Neurosarcoidosis is any sarcoidosis affecting the CNS- brain spinal chord etc.
Ad Find out how to detect sarcoidosis by learning these signs and symptoms. The most prevalent lesion leading to death was advanced pulmonary involvement 2228 patients or 78. However there are many patients with evidence of cardiac involvement who have such a small amount of scar that VT is not possible.
Some studies have reported that more than 250 patients with Cardio sarcoidosis have survived for more than 5 years after the diagnosis of this disease. Sex and gender exist on spectrums.
An Mri Based Deep Learning Approach For Efficient Classification Of Brain Tumors Springerlink
Pet Imaging Of Rat Gs9l Brain Tumors With A 18f Fspg B 18f Fdg And Download Scientific Diagram
An Mri Based Deep Learning Approach For Efficient Classification Of Brain Tumors Springerlink
Extrapulmonary Sarcoidosis With A Focus On Cardiac Nervous System And Ocular Involvement Eclinicalmedicine
A Rare Case Of Creutzfeldt Jakob Disease Reported From Nepal Neupane 2021 Clinical Case Reports Wiley Online Library
Cardiac Scariodosis A Heart Under Attack The Autoimmune Disease Disrupts The Finely Tuned Functions Of Cardiac Autoimmune Disease Health And Fitness Magazine
Neurosarcoidosis Symptoms Treatment And Causes
Neurosarcoidosis Symptoms Life Expectancy And Treatment
Case Report Predominant Brain Superficial Location F1000research
Cardiac Scariodosis A Heart Under Attack The Autoimmune Disease Disrupts The Finely Tuned Functions Of Cardiac Autoimmune Disease Health And Fitness Magazine
An Mri Based Deep Learning Approach For Efficient Classification Of Brain Tumors Springerlink
Magnetic Resonance Imaging Of The Brain Showing Numerous Hemorrhagic Download Scientific Diagram
Cureus A Rare Case Of Balo Concentric Sclerosis A Subtype Of Tumefactive Multiple Sclerosis In A 40 Year Old Male Case Report
Diagnostics And Syndromes Section 3 Textbook Of Stroke Medicine
Case Report Predominant Brain Superficial Location F1000research

